Lo Studio

Lo Studio dentistico GRO deve il suo nome al Dott. Giulio Rossi, colui che lo ha fortemente voluto ed è riuscito a realizzare, grazie alla sua esperienza decennale e ad una professionale equipe che lo affianca uno studio dentistico, pensato per accoglierti nel modo più piacevole possibile. Troverai una reception con tutti i comfort per te e per i tuoi bambini, ma senza segretaria per contenere i costi degli interventi e senza rinunciare all’efficienza grazie all’elevato livello di informatizzazione.
Non aspetterai molto, ma in quel tempo potrai sfogliare una rivista selezionata e i bambini potranno giocare all’apposita console a loro disposizione.
GRO ha uno sguardo attento soprattutto ai bambini, è per questo che ha creato PELICAN, un approccio e un modo di operare che rende il dentista e il suo operato a misura di bambino, spazi di attesa pensati per loro ed una attenzione alle esigenze e alle paure dei primi approcci con le visite dentistiche.
Il nostro mestiere fatto bene e con passione
Essere dei professionisti significa essere preparati, aggiornarsi continuamente e saper scegliere un team di collaboratori in grado di fare il proprio lavoro con passione. In GRO tutte le procedure sono standardizzate e protocollate in modo tale da avere ogni procedimento e ogni trattamento sotto controllo.
TAC Cone Beam
Il Centro Odontoiatrico GRO è dotata di un radiografico Kodak di ultima generazione che oltre al servizio classico di radiografia panoramica in digitale, offre soprattutto la possibilità della Tomografia Computerizzata Cone Beam che è un esame radiografico completo che, utilizzando un’apparecchiatura innovativa ci permette di ottenere tutte le informazioni utili al più basso costo possibile sia dal punto di vista economico che da quello delle radiazioni somministrate.
E’ così possibile rispettare il principio ALARA (As Low As Reasonably Achievable) elaborato dal ICPR (International Commission on Radiological Protection) per la radioprotezione.
Perchè viene fatta prima di eseguire un impianto dentale?
La TAC Cone Beam ci permette di ottenere tutte le informazioni necessarie e utili al nostro intervento di implantologia orale e cioè quanto osso abbiamo, in altezza, in larghezza e quale inclinazione migliore da dare all’impianto; è possibile elaborare le immagini e simulare l’intervento per il posizionamento degli impianti dentali che quindi risulterà più semplice e veloce.
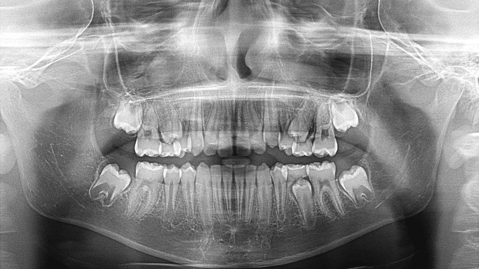
OPT – ortopantomografia
L’ortopantomografia, nota anche come ortopantomogramma o, più comunemente, “radiografia panoramica delle arcate dentarie”, è un esame radiologico che permette di analizzare contemporaneamente i denti, le arcate dentarie e le ossa di mascella e mandibola. Il tubo e la cassetta radiografica utilizzati nella procedura vengono fatti girare intorno alla testa del paziente.
A cosa serve l’ortopantomografia (OPT)?
L’ortopantomografia serve a studiare i denti, le ossa dei processi alveolari e la mandibola nei casi di problemi odontoiatrici. Permette inoltre di rilevare malformazioni dentarie, come denti inclusi o di identificare lesioni ossee, infiammazioni, cisti o tumori degli alveoli o nella mandibola.
Oltre che dall’odontoiatra, l’esame potrebbe essere prescritto anche da altri specialisti, ad esempio da un chirurgo, da un oncologo o da un otorinolaringoiatra.
DiagnoDENT
DIAGNOdent pen riconosce la diversa fluorescenza della sostanza sana dei denti e di quella malata tramite laser. Il raggio laser penetra nel dente, senza danneggiarlo, e rende luminosa la sostanza dentale (fluorescenza). Allo scopo il laser utilizza la diversa fluorescenza della sostanza dentale sana e malata e riconosce in questo modo anche le più piccole lesioni: in maniera completamente indolore, affidabile e senza esposizione alle radiazioni.
Se viene scoperta la carie, viene emesso un segnale acustico, che anche il paziente è in grado di udire. Inoltre voiavete sempre ben in vista i valori dei risultati del DIAGNOdent pen.
10 anni di esperienza – 45.000 pazienti
La superiorità della tecnologia di fluorescenza indotta da laser ha già fornito innumerevoli prove. La sua affidabilità è stata documentata con numerosi studi scientifici. La DIAGNOdent pen supporta da oltre 10 anni i dentisti in tutto il mondo nella diagnostica delle carie e ha reso felici oltre a 45.000 pazienti!
Laser Estetico
La tecnologia non invasiva per il trattamento della lassità cutanea e di altri inestetismi della pelle ha da oggi un nuovo punto di riferimento. RADIO4 Clinic, realizzata da NOVALASER, è la prima apparecchiatura medico/estetica presente sul mercato a sfruttare le grandi potenzialità della radiofrequenza quadripolare dinamica.
Grazie alla tecnologia di controllo RSS™, la radiofrequenza può trattare zone mirate della cute di viso e corpo, agendo in profondità e senza alcun rischio, con la garanzia di risultati rapidi, visibili e duraturi.
SICURA
Il Sistema RSS™ (Radiofrequency Safely System), esclusiva proprietà NOVAVISION GROUP, permette di avere un controllo totale sulla radiofrequenza emessa dalla macchina e di sfruttarne a pieno tutte le potenzialità.
Grazie a questo sistema di controllo è possibile focalizzare l’energia all’interno dei quattro elettrodi e raggiungere gli strati più profondi del derma, con potenze notevolmente inferiori rispetto a quelle utilizzate da apparecchiature simili. Il sistema di monitoraggio del movimento del manipolo e di rilevazione del grado di calore, inoltre, salvaguarda la superficie cutanea da eccessivi incrementi di temperatura che potrebbero provocare fastidi e scottature.
VERSATILE
È stato verificato che le diverse aree del corpo richiedono somministrazioni di energia differenti.
Per questo, è dotata di tre manipoli, studiati e realizzati per il trattamento di specifiche zone corporee. La macchina rileva automaticamente il manipolo connesso, impostando, sempre in modo automatico, i parametri corretti per il trattamento delle parti del corpo cui il manipolo è associato.
EFFICACE
Test clinici universitari hanno dimostrato che la radiofrequenza quadripolare dinamica, agendo in profondità e in modo controllato sugli strati profondi del derma, favorisce la produzione di collagene ed elastina e sviluppa un’efficace azione di riallineamento e ricompattamento dei tessuti.
Sviluppatrice ai fosfori
Grazie allo sviluppo ai fosfori, è possibile sfruttare al massimo tutti i vantaggi della tecnologia, quali ad esempio il range di esposizione, l’ampia scala dei grigi, l’elevata risoluzione locale, la bassa dose radiogena, rendendo questa tecnologia ancora all’avanguardia per la visualizzazione e l’archiviazione di radiografie endorali.
Caschetto Zeiss
Grazie ai sistemi ingrandenti EyeMag® Pro riusciamo a rilevare un’immagine stereoscopica ad elevato contrasto, ce ci consente di riconoscere e distinguere le strutture più piccole. EyeMag Pro è il sistema ingrandente perfetto per gli interventi e una prima diagnostica visiva: la profondità di campo permette un buon orientamento in profondità e questo ci permette in maniera precisa e immediata di valutare e lavorare in modo ottimale.








